- Fener Mah. Bülent Ecevit Blv. 43C Muratpaşa / Antalya, TR
Dental Treatments In Turkey
(List Of Dental Procedures)
Snowdrop Premium Dental Turkey is a clinic where modern dentistry meets the latest technology at affordable prices. All dental treatments are offered at our clinic. Get treated in a fully equipped dental clinic with state-of-the-art dental materials. The time scale of all treatments varies from 1 day to 1 week.

Cosmetic Dentistry (Most Popular Cosmetic Dental Procedures)
Thanks to cosmetic dentistry, a beautiful smile is very accessible today. We usually pay attention to the smiles of people we have just met. Scientific research indicates that people who smile beautifully create a more reassuring and warm-hearted prejudice. In addition, a beautiful smile increases a person’s self-confidence and quality of life.
(Premium Selections)
Your smile is the first thing people notice when they meet you. In addition, a successful smile makeover increases one’s self-confidence.
(Procedures, Cost)
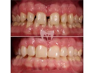
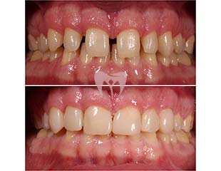
Teeth bonding is one of the most popular cosmetic dentistry treatments today, and dental composite materials use for this treatment.
(Benefits, Procedures, Cost, Results)
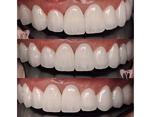
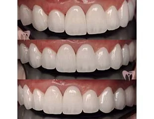
Porcelain Veneers and Lumineers are the first choice that comes to mind when it comes to cosmetic dentistry today.
(Inlay and Onlay)
Ceramic tooth fillings are also known as ‘Inlay and Onlay Fillings’. We should apply ceramic tooth fillings when the remaining tooth tissue is not sufficient for the composite.
(Types, Procedure, Cost)
Dental crowns provide correction of your smile line and whiter and brighter smile by masking the fractures, discoloration or cavities on your teeth.
(Procedures, Cost)
Teeth whitening is the easiest way to beautify your smile. Also, it is painless and does not require anesthesia.
(Procedures, Cost, Result)
Not all of us have the same gum line when we smile or talk. Sometimes the gums are longer and it may bother us that they look too much when laughing or talking.
(Procedures, Cost)
Clear aligners are perfect for patients who do not want to wear braces and are worried about braces being visible.
Teeth Replacement (Best Options For Replacing Missing Teeth)
With teeth replacement treatments, your quality of life will increase by 100%. Trying to live with a missing tooth can challenge you both aesthetically and functionally. It is annoying to not be able to eat the foods you want and to be feed soft foods. Likewise, trying to smile while hiding your missing tooth can be annoying and challenging.
(Surgery, Procedure,Cost)
The best way of Dental implants; restore your lost aesthetics and function.
(Surgery, Procedure,Cost)
With the All on 4 treatment, 12 fixed and fully functioning teeth are placed on only 4 implants.
(Surgery, Procedure,Cost)
With the All on 6 treatment, 12 or 16 fixed and fully functioning teeth are placed on 6 implants.
(Pros, Cons, Cost)
Dental bridges are manufactured from “zirconium” material that gives similar color as the natural teeth.
General Dentistry (Common Procedures For Dental Care)
You can also come to Snowdrop Premium Dental Turkey for your general dentistry treatments. These treatments are completed in 1 day. Remember, dentistry is not expensive, neglect is.
(Teeth Cleaning)
The gingival disease can progress silently and cause bigger problems. Do not neglect your check ups and gingival treatment (scaling) for early diagnosis.
(Gingivitis Treatment)
If you have an existing gingival disease (periodontitis), we will help you with the treatment and have healthy gums.
(Composite Fillings)
Fillings are the best treatment to prevent further damage to your tooth. With good oral care, you can use your fillings done correctly for many years.
(Make A Toothache Go Away)
Root canal treatment is the only way to stop the pain caused by the nerves of the tooth. Pain from nerves in the canals can be quite painful.
(Wisdom Teeth)
Our wisdom teeth are at the back of our mouths. Due to this position, it is hard to clean them and it is hard for the brush to reach that area.
(Kid's Dentist)
Pediatric dentistry will start with understanding the emotions of the children and creating a sense of trust when they enter the clinic.

